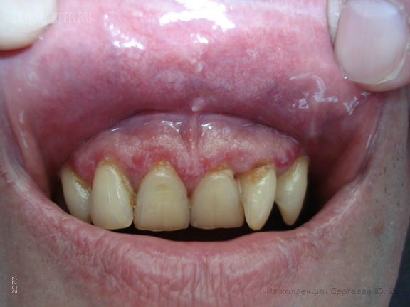
Красный плоский лишай десен
Жалоба на болезненность в области десен, особенно при чистке зубов. Последнее причиняет пациенту наибольшее беспокойство.
Применяет по назначению стоматологов различные полоскания, эпителизирующие средства без эффекта.
При осмотре: в области десен слизистая слегка отечна и гипертрофирована, имеются очажки белесоватого цвета образующие кружевной рисунок.
Клинический диагноз
Красный плоский лишай десен
Нюансы
Нюансы в подборе местной терапии.
Я назначил пациенту мной разработанную методику «Сэндвич-аппликации по Ю.В.Сергееву». Где-то Вы о ней уже читали на моем сайте.
Могу лишь напомнить, что эта методика впервыве опубликована в нашей книге: А.Ю.Сергеев, Ю.В.Сергеев «Кандидоз», 2000 г.
Суть ее сводится к применению кортикостероидных мазей между двумя слоями ваты, закладываемых за щеку на 15-20 минут дважды в день.
Внутрь назначил плаквенил.
Выздоровление не заставило себя долго ждать.







