Рубцующийся пемфигоид
Пациентка обошла ряд клиник, подробно обследована, диагноз окончательно не установлен. Выставляемые диагнозы: от контактного стоматита на металлические протезы в полости рта до пузырчатки. Проводимая терапия, в том числе и пробное лечение дапсоном эффекта не оказывает.
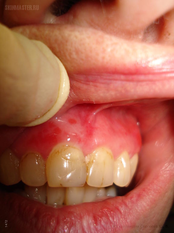
Жалоба на болезненность в полости рта после образования пузырей и эрозий, появляющихся после их вскрытия, длительное существование очагов в полости рта.
Больна около пяти лет.
Подробно обследована, в том числе проводились цитологические исследования мазков-отпечатков с эрозий на акантолитические клетки, эозинофилы. Результаты отрицательны. Проведено гистологическое и иммуноморфологическое исследование биоптатов с эрозий – выявлены субэпидермальные пузыри без явлений акантолиза.
При имунофлюоресцентоном исследовании в области базальной мембраны выявлены депозиты Ig G и IgM. Диагнозы пузырчатки и герпетиформного дерматита исключены.
При осмотре: в области слизистой рта, преимущественно в складках внутренней поверхности слизистой и десен эрозии, вокруг них и отдельными очагами, на месте имевшихся высыпаний белесоватого цвета очаги рубцовой атрофии.
В области пупка мелкие пузыри размером до 0.3 см. в диаметре, в местах бывших высыпаний атрофия и рубцовые изменения. Симптом Никольского отрицательный. Пузыри в области пупка постоянно рецидивируют.
Обратил внимание на покраснение левого глаза, отечность верхнего века. Пациентка заметив мою реакцию уточнила, что это – вероятно конъюнктивит, давно преследует ее, все никак не соберется к окулисту...
Клинический диагноз
Пемфигоид рубцующийся.
Нюансы
Пемфигоид рубцующийся (синоним: доброкачественный пемфигоид слизистых) чаще ассоциируется с поражением глаз (пузырчатка глаз). В этом случае поражение начинается с конъюнктивы одного глаза. Так как пузыри малозаметны, первоначальная симптоматика симулирует клинику банального конъюнктивита, позднее конъюнктива изъязвляется и рубцуется, в тяжелых случаях развивается симблефарон – рубцовое сращивание конъюнктивы век с конъюнктивой глазного яблока.
Необходимо помнить и о поражениях при этом заболевании слизистой рта и кожи.
Основными диагностическими признаками в нашем случае является поздний возраст развития заболевания, указания на отсутствие эффекта от лечения дапсоном, клиническую картину с образованием очагов рубцовой атрофии, а также локализацию высыпаний, в том числе и в области пупка. Цитологические исследования и данные иммуноморфологических исследований у нашей пациентки подтверждают этот редкий диагноз.
В лечении данного заболевания имеются свои особенности. Подбор местной терапии – одна из низ.
В данной локализации я рекомендую использовать технологию сэндвич-аппликаций с кортикостероидными мазями, предложенную мной и подробно изложенной в книге «Грибковые инфекции».
Не забывайте также направлять подобных больных на осмотр к окулисту.








